vinooalluri.com
HOME
About
Contact
Disclaimer
Privacy
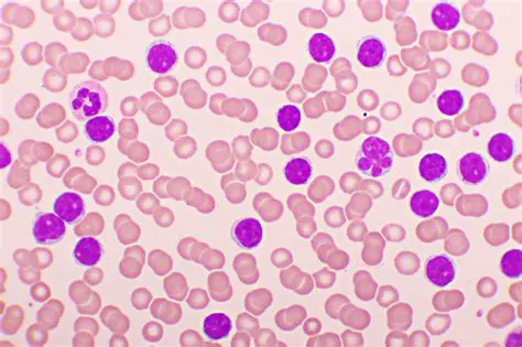
Acute Lymphoblastic Leukemia
Oct 13, 2025
by vinooalluri.com
4
views